Azərbaycanca (AZ) Azərbaycanca (AZ)English (US) English (US)Қазақша (KZ) Қазақша (KZ)Lietuva (LT) Lietuva (LT)Türkçe (TR) Türkçe (TR)O'zbekcha (UZ) O'zbekcha (UZ)
Dəstək
Pulsuz Yükləmə və Məlumat Platforması
  • Vikipediya
  • Musiqi

Uşaqlıq yolu (ing. vagina) ― 8–10 sm uzunluğunda boru şəklində olub uşaqlığı xarici cinsiyyət üzvləri ilə birləşdirir; dölün və aybaşı qanının uşaqlıqdan xaricə

Vajina

  • Ana Səhifə
  • Vikipediya
  • Vajina

Uşaqlıq yolu (ing. vagina) ― 8–10 sm uzunluğunda boru şəklində olub uşaqlığı xarici cinsiyyət üzvləri ilə birləşdirir; dölün və aybaşı qanının uşaqlıqdan xaricə çıxması və toxumun (spermatozoidin) uşaqlığa daxil olması üçün bir yol təşkil edir. Bunun ön divarı — lat. paries anterior və arxa divarı — lat. paries posterior vardır. Bunlar uşaqlıq yolu boş olan vaxt bir-birinə söykənir və aralarında frontal istiqamətdə durmuş bir yarıq qalır. Uşaqlıq yolu aşağıya doğru daralaraq uşaqlıq yolu dəliyi (girəcəyi) — lat. ostium vaginae (introitus vaginae BNA) vasitəsilə uşaqlıq yolu dəhlizinə açılır; yuxarıda isə uşaqlıq boynunun uşaqlıq yolu hissəsini (lat. portio vaginalis cervicis) əhatə edir və nəticədə uşaqlıq yolu ilə lat. portio vaginalis arasında uşaqlıq yolu tağı — lat. fornix vaginae adlanan həlqəvi bir yarıq əmələ gəlir. Təcrübə cəhətcə bu tağ dörd qismə bölünür: ön, iki yan və dal tağlar. Uşaqlıq yolunun dal divarı bir tərəfdən ön divardan təxminən 1,5–2 sm uzun olduğu üçün və digər tərəfdən uşaqlıq boynunu daha da yuxarıdan əhatə etdiyi üçün, dal tağ o birilərindən geniş və dərindir. Burada dal divar düz bağırsaq-uşaqlıq çalası tərəfdən periton ilə örtülü olur; beləliklə uşaqlıq yolu boşluğu periton boşluğundan ancaq arxa divar vasitəsilə ayrılmışdır. Bunun təcrübədə artıq əhəmiyyəti vardır, çünki bəzən cərrahi əməliyyat zamanı uşaqlıq yolu çırıldıqda və ya deşildikdə infeksiya uşaqlıq yolundan periton boşluğuna keçə bilər.

Uşaqlıq yolu
Uşaqlıq yolu
Uşaqlıq yolu
Latınca Vagina
Yunanca Colpos
Qrey subyekt 269 1264
Sistem Sidik-cinsiyyət - lat. Systema urogenitale - BNA
Üzv Qadın cinsiyyət - lat. Organa genitalia feminina
Arteriya lat. art. uterina, art. pubenda interna, art. vesicalis inferior et artş rectalis media
Vena lat. Plexus venosus vaginalis
Sinir lat. Plexus utero vaginalis, n. pudendus
Limfa Daxili qalça və qasıq limfa düyünlərinə açılır
Embrional Müller axacağı - lat. ductus Mülleri
MeSH Vagina
Dorlands/Elsevier Vagina
Vikianbarın loqosu Vikianbarda əlaqəli mediafayllar

Mündəricat

Qızlıq və ya bəkarət pərdəsi

Qızlıq pərdəsinin anomaliyaları

Uşaqlıq yolu dəliyi Qızlıq və ya bəkarət pərdəsi — lat. hymen vasitəsilə əhatə olunmuşdur. Bu pərdə genez cəhətcə Müller qabarcığının qalığıdır. Adətən qəzləq pərdəsi aypara şəklində olur (lat. hymen semilunaris); bunun nazik sərbəst kənarı uşaqlıq yolu dəliyini əhatə edir, digər kənarı uşaqlıq yolunun dal divarına bitişir, belə ki, lat. ostium vaginae 1,5 sm diametrli dairəyə bənzəyir. Cinsiyyət üzvlərinin normal vəziyyətində qızlıq pərdəsi büküşlər əmələ gətirərək uşaqlıq yolu dəliyini (girəcəyini) örtür. Bəzən uşaqlıq yolu dəliyi qızlıq pərdəsinin ortasında olur və özü də həlqəyə bənzəyir, bu növ qızlıq pərdəsinə lat. hymen anularis deyilir. Çox vaxt uşaqlıq yolu dəliyi ortada olmayıb, ekssentrik bir vəziyyət alır; əksərən qızlıq pərdəsinin yuxarı kənarına yaxın olur. Bu halda qızlıq pərdəsi lat. hymen circularis adlanır. Birinci koitusdan sonra qızlıq pərdəsi öz tamlığını itirir və 2–3 parçaya bölünür, onlara qızlıq pərdəsi ətcikləri — lat. carunculae hymenales deyilir. Təkrari koitusdan sonra və ya qadın doğduqdan sonra uşaqlıq yolu genəlir, büküşlər açılır və qızlıq pərdəsi ətcikləri hamarlaşır. Qızlıq pərdəsinin forma cəhətcə bir neçə anomaliyaları mövcuddur. Qızlıq pərdəsinin azad kənarı adətən dairəyə ya ellipsə bənzəyir; bəzən bu kənar dişli ya parçalı olur, nəticədə qızlıq pərdəsi saçağa bənzəyir, buna saçaqlı qızlıq pərdəsi — lat. hymen fimbriatus deyilir. Bu növ qızlıq pərdəsi ədliyyə təbabəti cəhətcə çox əhəmiyyətlidir, çünki səhv olaraq cinsi əlaqə zamanı tamlığını itirmiş qızlıq pərdəsi kimi təsvir edilə bilər. Bəzən qızlıq pərdəsində iki ya bir çox kiçik dəliklərə rast gəlinir; birinci anomaliyaya arakəsməli ya iki pəncərəli (dəlikli) qızlıq pərdəsi — lat. hymen septus s. bifenstratus və ikinci növ anomaliyaya xəlbirəbənzər qızlıq pərdəsi — lat. hymen cribriformis deyilir. Bir dəlikli qızlıq pərdəsində bəzən dəlik o qədər kiçik olur ki, nazik mil belə çətinliklə keçir, həmin dəlik nazik yarıq şəklində olur; belə halda qızlıq pərdəsi ikidodaqlı — lat. hymen bilabialis adlanır. Qızlıq pərdəsinin rezistensiyasına gəldikdə burada müəyyən variantlara təsadüf olunur, məsələn, qızlıq pərdəsi çox nazik və ya qalın ola bilər. Qızlıq pərdəsi qalın olduqda cinsi əlaqə çətinliklə olur, belə ki, operativ müdaxilə tələb edir.

Uşaqlıq yolunun divarı

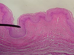
Uşaqlıq yolunun divarı üç qişadan ibarətdir: lat. tunica mucosa, tunica muscularis, tunica adventita. Burada elastiki və əzələ lifləri olduğu üçün uşaqlıq yolu nəhayət dərəcədə genələ bilir. lat. Tunica adventita uşaqlıq yolunu xaricdən əhatə edərək boş birləşdirici toxumadan təşkil olunmuşdur. Ön tərəfdə sidik kanalı divarı ilə və arxadan düz bağırsaq divarını əhatə etmiş sərt toxuma ilə rabitədədir. Bu qişada artıq dərəcədə elastiki liflər, bir az saya əzələ lifləri, qan damarları və sinirlər vardır. lat. Tunica muscularis saya əzələ toxumasından təşkil olunmuşdur; burada selikaltı qat olmadığı üçün bilavasitə selikli qişa ilə bitişmişdir. əzələ qişasını təşkil edən liflərin əksəri boylama və azı həlqəvi istiqamətdə gedərək yuxarıda uşaqlıq aşağıda aralıq əzələləri ilə birləşir. Uşaqlıq yolu dəliyi iradi əzələ toxumasından təşkil olunmuş həlqəvi büzücü əzələ (lat. m. sphincter uretrovaginalis) ilə əhatə olunmuşdur. Bu əzələ 4–7 mm enində olub, uşaqlıq yolu dəliyini əhatə etmək ilə bərabər sidik kanalını da əhatə edir və yan tərəflərdən aralığın dərin köndələn əzələsi ilə və arxa tərəfdən anusu qaldıran əzələ ilə birləşir.

Uşaqlıq yolunun divarı

lat. Tunica mucosa əzələ qişasından qalındır (təxminən qalınlığı 2,5 mm-ə çatır) və özü də çoxqatlı yastı epitel ilə örtülüdür. Selikli qişa külü za çəhrayı rəngdə olur, aybaşı dövründə tündləşir və hamiləlik dövründə göyümtül bir rəng alır; bunun vəziləri yoxdur, ancaq tək-tək limfa düyüncükləri — lat. noduli limphatici təsadüf olunur. Normal halda selikli qişa üzərində həmişə seliyəbənzər bir maye olur, ancaq bu uşaqlıq boynu vəziləri ifrazatından başqa bir şey deyildir. Uşaqların və qızların uşaqlıq yolunun ön və dal divarları üzərində bir çox köndələn qırışlar — lat. rugae vaginales vardır, bunlardan orta xəttə birər sütun — lat. columnae rugarum anterior et posterior əmələ gəlir. Ön sütun dal sütundan qalındır və aşağı yaxınlaşdıqca yüksələrək sidik kanalının xarici dəliyi kənarında lat. carina urethralis vaginae deyilən til (ətcik) əmələ gətirir.

Uçaqlıq yolu kiçik çanağın aşağı hissəsində mərkəzi bir vəziyyət alıb, arxasında — düz bağırsaq və önündə sidiklik və sidik kanalı yerləşmişdir. Sidiklik ilə uşaqlıq yolu zəif rabitədədir; burada olan hüceyrəli toxumada venoz kələflər vardır. Sidik kanalı nahiyəsində isə uşaqlıq yolu onun arxa divarı ilə sərt birləşdirici toxuma (arakəsmə) vasitəsilə möhkəm bitişmişdir. Uşaqlıq yolu anusu qaldıran əzələ ilə əhatə olunaraq sidik-cinsiyyət diafraqmasını (lat. diaphragma urogenitale) dəlir və burada lat. lig. transversum perinei (lig. transversum pelvis - BNA) deyilən bağ vasitəsilə qasıq bitişməsinə təsbit olunur. Beləliklə uşaqlıq yolunun fiksasiyasında sidik-cinsiyyət diafraqması, anusu qaldıran əzələ və onu örtən aralıq fassiyaları iştirak edir. Əgər uşaqlıq yolunun fiksasiya aparatı zəifləşərsə, nəticədə uşaqlıq və uşaqlıq yolu aşağı düşür, buna lat. prolapsus uteri et Vaginae deyilir.

Uşaqlıq yolunun yaş xüsusiyyətləri

Yeni doğulmuş qızların uşaqlıq yolu nisbətən uzundur, lat. rugae vaginales artıq dərəcədə inkişaf etmişdir və sıxdır. 10 yaşında həmin qırışlar seyrəkləşir, uşaqlıq yolu uzununa çox böyüyür və yuxarı hissəsində qırışlar itir. Büluğa çatmış qızlarda (lat. virgo intacta) qırışlar çox yüksək və konsistensiyaları qığırdaq kimi olur, 40 yaşından sonra uşaqlıq yolu öz elastikliyini itirir.

Vaskulyarizasiya və innervasiyası

Uşaqlıq və yumurtalıq arteriyaları
Uşaqlığın və yumurtalığın vaskulyarizasiyası

Uşaqlıq yolu arterial qanı daxili qalça arteriyası sistemindən alır. Bu sistemdən çıxan damarlar — lat. art. uterina, art. pudenda interna, art. vesicalis infrior et art. rectalis media uşaqlıq yoluna şaxələr (lat. rami vaginales) verir. Bunlar uşaqlıq yolu divarlarının ətrafında anastomozlaşaraq arxada lat. art. azygos baginae adlanan xüsusi arteriya əmələ gətirirlər. Uşaqlıq yolu venaları onun ətrafında kələf (lat. plexus venosus vaginalis) təşkil edir; bu kələf də xarici cinsiyyət və qonşu üzvlərin venoz kələfləri ilə rabitədə olur; qeyd olunan kələflərdən venoz qan eyni adlı venalarla axaraq daxili qalça venasına tökülür.

Uşaqlıq yolunun limfa damarları onun ətrafında zəngin tor təşkil edərək, limfanı yuxarı hissədən daxili qalça limfa düyünlərinə, aşağı hissədən qasıq limfa düyünlərinə və arxa hissədən düz bağırsaq limfa düyünlərinə daşıyır.

Uşaqlıq yolu lat. lexus utero vaginalis deyilən kələf ilə innervasiya olunur. Bundan başqa burada xüsusi qanqlionlara da təsadüf olunur. Uşaqlıq yolunun aşağı hissəsi ciniyyət siniri ilə də (lat. n. pubendus) innervasiya olunur.

vikipedia, viki, ensiklopediya, kitab, məqalə, oxumaq, pulsuz yüklə, Vajina haqqında məlumat. Vajina nədir? Vajina nə deməkdir?

←Növbəti YazıƏvvəlki Yazı→
Ən Oxunanlar - Vikipediya
  • Fevral 27, 2026

    Mixail Levandovski

  • Fevral 27, 2026

    Əlabbas Bağırov

  • Fevral 26, 2026

    Mazandaranlılar

  • Fevral 27, 2026

    Alfa

  • Fevral 25, 2026

    Bəyimdağ

Trend Mahnılar
  • Fevral 21, 2026

    Uzeyir Mehdizade - Popuri 3 ( Ekskluziv )

  • Fevral 17, 2026

    Zeyneb Heseni & Sedef Budaqova - Popuri 2026 (Official Video)

  • Fevral 17, 2026

    Xumar Qedimova - Dünya

  • Fevral 17, 2026

    İsmail Zade — Bir Adam (Rəsmi Audio)

  • Fevral 21, 2026

    Lord Vertigo & Nilay Sems - Kimdir En Gozel ( Yeni 2026 )

Studia

  • Vikipediya
  • Musiqi

Xəbər Bülleteni Abunəliyi

Əlaqə Saxlayın
Bizimlə Əlaqə
© 2025 www.azur.az-az.nina.az - Bütün hüquqlar qorunur.
Müəllif hüquqları: Dadash Mammadov
Üst