Azərbaycanca (AZ) Azərbaycanca (AZ)English (US) English (US)Қазақша (KZ) Қазақша (KZ)Lietuva (LT) Lietuva (LT)Türkçe (TR) Türkçe (TR)O'zbekcha (UZ) O'zbekcha (UZ)
Dəstək
Pulsuz Yükləmə və Məlumat Platforması
  • Vikipediya
  • Musiqi

Prionlar (ing. proteinaceous infectious particle — yoluxucu zülalvari hissəcik) – İnsan və heyvanların ali nümayəndələrində mərkəzi sinir sistemində ağır xəstəl

Prionlar

  • Ana Səhifə
  • Vikipediya
  • Prionlar

Prionlar (ing. proteinaceous infectious particle — yoluxucu zülalvari hissəcik) – İnsan və heyvanların ali nümayəndələrində mərkəzi sinir sistemində ağır xəstəliklərə səbəb olan, tərkibində nuklein turşuları olmayan zülalların xüsusi sinfi. Prionlar sahibin normal zülalının dəyişmiş formasıdır.

Prionlar
MeSH D011328
Vikianbarın loqosu Vikianbarda əlaqəli mediafayllar

1982-ci ildə amerikalı molekulyar bioloq, Stenli Prussner tibbin və biologiyanın inkşafının yeni mərhələsini qoydu. O, yeni tip infeksiyon agent, prionları kəşf etdi. Bu təkcə molekulyar biologiyanın nailiyyəti deyildi, həm də tibbin inkişafında yeni bir era idi. Prinsipial olaraq digər infeksiyon xəstəliklərdən baş verməsinə və səbəbinə görə fərqlənən yeni tip xəstəlik aşkar olunmuşdu.

Mündəricat

Həkimlər üçün

Həkim praktikasında prion xəstəlikləri haqqında məlumatlı olmaq və onlari digər somatik sinir və əzələ sistemi xəstəliklərindən ayırmaq üçün differensial-diaqnostikanı bilmək cox vacibdir. Bunun üçün prion xəstəliklərini makroskopik və mikroskopik səviyyədə öyrənmək, xəstəliyin inkşafını, səbəbini, orqanizm üçün ağırlaşmalarını bilmək lazımdır:

  • Morfoloji cəhətdən prion xəstəliklərini virus xəstəliklərindən ayırmaq
  • Transmissiv Süngərvari Ensefalopatiyanin morfogenezini
  • Transmissiv Süngərvari Miopatiyanın morfogenezini
  • İnsanda ağırlaşmanı və ölümün səbəbini

Prionlar submikroskopik infeksion hissəcik olub heç bir genetik materialı yoxdur (DNT və RNT). Prionları bütün mikroorqanizmlərdən: viruslar, bakteriyalar, göbələklərdən fərqləndirən əsas cəhət də budur. Prion ingilis sözü olub və ing. "proteinaceous infectious particle" terminindən götürülüb, hərfi tərcüməsi "zülallı yoluxucu hissəcik" deməkdir.

Prion zülalı 2 formada ola bilər: PrPC (Cell - hüceyrə forması) və PrPSC (Scrapie - ökuz xəstəliyi). Prionlar fiziki-kimyəvi amillərə qarşı cox dözümlüdürlər. Prionların müxtəlif təsirlərə dözümlüyünün xarakteristikası:

ReaktivlərDozaTəsir effekti
Fiziki-Kimyəvi təsir
NH2OH0,1–0,5 мM dözümlü
Psoralen10–500 mq/mldözümlü
Fenol100%İnaktivləşmə
SDS1–10%İnaktivləşmə
Zn2+2 мMdözümlü
Sidik turşusu3–8 M İnaktivləşmə
Soda1N 1 saat ərzində 20 °Cİnaktivləşmə
Natrium hipoxlorid2,5% 1 saat ərzində 20 °CInaktivləşmə
Ferment təsiri
DNT-aza A0,1–100 mq/mldözümlü
DNT-aza100 mq/mldözümlü
Proteinkinaza K100 mq/mlInaktivləşmə
Tripsin100 mq/mlInaktivləşmə
Fiziki təsir
Avtoklavlaşdirma136 °C 18 dəqiqə ərzindəInaktivləşmə
Quru isti160 °C 24 saat ərzindəInaktivləşmə
UBGüclü dozadözümlü

Təsnifatı

Hazırda prionların törətdiyi xəstəliklər 2 əsas qrupa bölünür:

  1. Transmissiv Süngərvari Ensefalopatiya (TSE)
  2. Süngərvari miozit prion assosiasiya olunmuş əlavələrlə TSE daha ətraflı öyrənilib.

Prion ensefalopatiyasının patogenezi. Prion xəstəliyi genetik və infeksion nöqteyi nəzərdən unikaldır, çünki həm genetik həm də infeksion xəstəlikdir. Stenli Prussner 1991-ci ildə TSE-nın patogenezinin müasir konsepsiyasini təklif etdi. Bu sahədə dağ siçanı və siçovullar üzərində apardığı tədqiqat işlərinə görə 1997-ci ildə Prussner molekulyar-biologiya sahəsində nobel mükafatı almışdir.

Prussnerə görə insan bu xəstəliyə 2 yolla yoluxa bilər:

  1. İrsiyyətin Mendel qanunlarına görə ötürülməsi (autosom-dominant tip irsiyyət)
  2. İnfeksiyon agentin transmissiyası (alimentar və ya yatrogen)

Prion xəstəlikləri eyni zamanda həm infeksion, həm də irsi ola bilər. Müasir biliklərə görə yoluxma 3 faktordan aslıdır: infeksiya dozası, yoluxma yolu və növ baryerlərindən.

Prionla yoluxma yolları xəstəliyin inkşafinda mühüm rol oynayır:

  • İntraserebral
  • İntravenoz
  • İntraperitonal
  • Dərialtı
  • Oral

İnfeksion dozanın və daxil olma yolunun eksprementdə mühüm əhəmiyyəti vardır. Belə ki, sıçovulları oral yolla yoluxdurmaq üçün intraserebral yoluxdurmadan 200 000 dəfə artıq doza tələb olunur.

Növ baryerləri müxtəlif canlılar üçün müxtəlifdir. Labarator heyvanlar üzərində aparılan tədqiqatlar göstərir ki, xəstəliyin inkubasiya dövrü çox uzundur. Belə ki, birinci dəfə infeksiyon doza ilə yoluxdurduqdan sonra nəticə almaq üçün çox gözləməli olursan, lakin təkrar yeridildikdən sonra inkubasiya dövrü hər dəfə azalır. Bu da müxtəlif canlılar üçün müxtəlif olduğuna görə buna növ baryeri deyirlər.

Alimentar yoluxmada prionlar Peyer düyüncüklərindən limfoid hüceyrənin daxilinə keçir. Oradan isə digər retikuloendotelial sistemin hüceyrələrinə (limfa düyünlərinə, dalağa və udlaq badamcıqlarına) daxil olur. Bu orqanlarda prionların az da olsa replikasiyası baş verir. İmmunogenez orqanlarıdan prionlar yaxınlıqdaki sinir hüceyrələrinin aksonlarına keçir. Akson olan sahədə onlarin əhəmiyyətli dərəcədə replikasiyası baş verir. Kritik konsentrasiyada onlar sinir çıxıntıları ilə onurğa beyninə oradan isə baş beyinə daxil olur. Dəri altına daxil edildikdən sonra 1 həftəyə dalağa, dalağdan limfa düyünlərinə 5–13 həftəyə, oradan onurğa beyninə 13–17 həftəyə, baş beyinə 17–19 həftəyə çatır. Baş beyində patoloji dəyişikliklər 25 həftədən, kliniki əlamətlər isə 34 həftədən sonra baş verir. Bütün zədələnmiş orqanlarda infeksion hissəcik 10 milyona qədər ola bilər, bu da 1q edir.

Ekspremental yolla subut edilmişdir ki, prion agentləri neyronlarla bərabər həm də qlial elementlərdə də replikasiya edə bilər. Bəzi müəlliflərin astrositləri və digər qlial elementləri xəstəliyin patogenezində açar rolu oynadığını hesab edirlər.

PrPSC orqanizimə daxil olduqdan sonra endositoz prosesin ilə hüceyrə daxilinə toplanır. İmmunoelektron-mikroskopik tədqiqatlar göstərir ki, PrPSc-nin hüceyrədə toplanması ikincili lizosom səviyyəsində baş verir, burada da coxlu fosfolipidlər olur. PrPSC-nin lizosomda yığılması onu zədələyir. Zədələnmiş lizosomda olan fermentlər sitozola cıxdıqda hüceyrənin digər strukturlarıni zədələyir bu da hüceyrənin məhv olması ilə nəticələnir. Məhv olmuş hüceyrədən çıxmış PrPSc yenidən digər hüceyrələrdə olan PrPC-ləri konfarmasiyon dəyişikliyə uğradaraq onların daxilində toplanir. PrPSc-hüceyrədaxili toplanması neyronların süngərvari distrofiyasına, sinir hüceyrələrinin ölməsinə, astrositoza gətirib çıxarır. Bu da prion xəstəliklərinin neyromorfologiyasınin əsasını təşkil edir.

Prion xəstəliklərinin patomorfologiyası mikroskopik olaraq 4 yerə bölünür:

  • Süngərvari dəyişikliklər.
  • Neyronlarin itirilməsi
  • Astrositoz
  • Amiloid ərpin əmələ gəlməsi

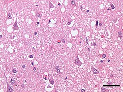
Makroskopik olaraq isə beyin kütləsinin əhəmiyyətsiz dərəcədə azalmasi müşahidə olunur. TSE mikroskopik əsasinda boz maddə neyronlarının çıxıntılarında vakuollaşma, astroqlioz (astrositoz) və beyində aqreqatların çökməsi, mielinsizləşmə durur. PrP-nin neyronal itirilməsi sinir toxumasının apaptozu (hüceyrənin proqramlaşdırılmış ölümü) ilə nəticələnir. Bu da MSS-nin funksiyalarin pozulmasına gətirib çixarir. Mikroskopla baxdıqda coxlu oval vakuollar görünür.(1–50 mkm ölçüdə). Onlar ayrı-ayrı və qrup halında ola bilər. Parafinli toxumanın kəsiyində mikroskopik olaraq boşluqlar görünür. Hemotoksilin-eozinlə rəngləndikdə isə kiçik dənələr formasında görünə bilir. Prion xəstəlikləri zamanı beyində əsas zədələnən hissə qabiq nahiyyəni 3–4-cü qati olur. Adi halda onlar eozonofil dairələr formasında görünür. Bəzən onurağa beynində də motoneyronlarin azalması da müşahidə olunur.

Klinikası

Prion xəstəliklərinin klinikasi zədələnmə nahiyəsindən asılı olaraq müxtəlif ola bilər:

  • Hissi sahədə dəyişiklik: müxtəlif səviyyələrdə amneziya, həssasliğın itməsi, hissiyyat orqanlarının funksional pozğunluğu
  • Hərəki sahədə: ataksiya, əzələlərin atrofiyası (tənəffüs əzələləri), hərəki məhdudluğu, qıcolma
  • Psixiki pozğunluq: depresiyya, intelektin zəifləməsi, yuxusuzluq, aqressivlik

Prion xəstəliklərinə diaqnoz qoymaq çox çətindir. Çünki qanın və onurğa beyin mayesində heç bir əhəmiyyətli dəyişiklik olmur, iltihab reaksiyası baş vermir. Elektroensefaloqram da normadan fərqlənmir. Kliniki diaqnozu ancaq MSS-nin histopataloji müayinəsində təsdiqləmək olar. (neyronların süngərvarı vakuollaşması, iltihab əlamətləri olmadan astrositlərin və qliyaların proloferasiyası).

TSE xəstəlikləri qrupuna aşağıdakılar aid edilir:

  • Kreysfeld-Yakob xəstəliyi
  • Hersman-Straussler-Şeynker sindromu
  • "Fatal ailə yuxusuzluğu" sindromu
  • Kuru xəstəliyi
  • Alpers xəstəliyi

vikipedia, viki, ensiklopediya, kitab, məqalə, oxumaq, pulsuz yüklə, Prionlar haqqında məlumat. Prionlar nədir? Prionlar nə deməkdir?

←Növbəti YazıƏvvəlki Yazı→
Ən Oxunanlar - Vikipediya
  • Fevral 27, 2026

    Sərbəstdüşmə təcili

  • Fevral 25, 2026

    Amaliya Pənahova

  • Fevral 23, 2026

    Nyu-Orlean

  • Fevral 27, 2026

    Nut

  • Fevral 27, 2026

    Doymamış karbohidrogenlər

Trend Mahnılar
  • Fevral 17, 2026

    Gel Mene Addim Addim - Selale Sesli ( Tik Tok Her Kesin Axtardigi Mahni 2026 )

  • Fevral 25, 2026

    Vefa Serifova - Sevgiye Verdim Ara 2026 (Yeni Klip) 4K

  • Fevral 24, 2026

    Afshin Azari - Can Deme 2026 (Yeni Klip)

  • Fevral 17, 2026

    İsmail Zade — Bir Adam (Rəsmi Audio)

  • Fevral 21, 2026

    Bayram Kürdəxanlı & Sona - Meclisimiz Xudmanidi İçmirsən

Studia

  • Vikipediya
  • Musiqi

Xəbər Bülleteni Abunəliyi

Əlaqə Saxlayın
Bizimlə Əlaqə
© 2025 www.azur.az-az.nina.az - Bütün hüquqlar qorunur.
Müəllif hüquqları: Dadash Mammadov
Üst