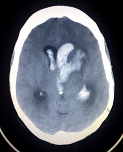
Beyin qansızması və ya Hemorragik insult — qeyri-travmatik beyin qansızması daha çox (60% hallarda) arterial hipertenziyanın fəsadı kimi baş verir. Hipertenziv beyindaxili qansızma başlıca olaraq, beynin perforasiyaedici arteriyaları hövzəsində — bazal nüvələr – (50%), talamus (15%), beynin ağ maddəsi (15%), körpü (10%) və beyincik (10%) hövzəsində lokallaşır. Beyin qansızmasının başqa bir səbəbi aretriovenoz malformasiyanın (AVM) yırtılması və ya kisəli anevrizmadır. AVM zamanı hematomalar əsas baş beyinin ağ maddəsində və ya bazal nüvələrdə lokallaşır. Ahıl yaşlarda əsas səbəb isə amiloid angiopatiyası hesab olunur.
| Beyin qansızması | |
|---|---|
| |
| XBT-10 | I60.0, I62, S06 |
| XBT-9 | 430, 432, 850, 854 |
| XBT-9-KM | 432.9 |
| DiseasesDB | 6870 |
| MedlinePlus | 000796 |
| MeSH | D020300 |
Həmçinin bax
- Kəllə-beyin zədələnməsi
vikipedia, viki, ensiklopediya, kitab, məqalə, oxumaq, pulsuz yüklə, Hemorragik insult haqqında məlumat. Hemorragik insult nədir? Hemorragik insult nə deməkdir?
