Azərbaycanca (AZ) Azərbaycanca (AZ)English (US) English (US)Қазақша (KZ) Қазақша (KZ)Lietuva (LT) Lietuva (LT)Türkçe (TR) Türkçe (TR)O'zbekcha (UZ) O'zbekcha (UZ)
Dəstək
Pulsuz Yükləmə və Məlumat Platforması
  • Vikipediya
  • Musiqi

Beyin xərçəngi — keçmişdə beyin toxumasının özünün normal komponentləri (neyronlar, glial hüceyrələr, astrositlər, oliqodendrositlər, ependimal hüceyrələr), lim

Beyin xərçəngi

  • Ana Səhifə
  • Vikipediya
  • Beyin xərçəngi

Beyin xərçəngi — keçmişdə beyin toxumasının özünün normal komponentləri (neyronlar, glial hüceyrələr, astrositlər, oliqodendrositlər, ependimal hüceyrələr), limfa toxuması, beynin qan damarları, kəllə sinirləri, beyin qişaları, kəllə, beynin qlandalar formasiyalar (hipofiz və epifiz) və ya başqa bir orqanda yerləşən ilkin şişin metastazı nəticəsində yaranır.

Beyin xərçəngi
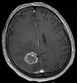
Beyin xərçənginin MRTdə görüntüsü
Beyin xərçənginin MRTdə görüntüsü
XBT-10 C71, D33.0-D33.2
XBT-9 191, 225.0
DiseasesDB 30781
MedlinePlus 007222
eMedicine emerg/334 
MeSH D001932

Şişin növü onu meydana gətirən hüceyrələr tərəfindən müəyyən edilir. Lokalizasiyadan və histoloji variantdan asılı olaraq xəstəliyin simptomları formalaşır.

Mündəricat

Təsnifat

Beyin şişləri aşağıdakı meyarlara görə qruplara bölünə bilər :

Əsas ocağına görə
  • Birinci dərəcəli şişlər — beyin toxumalarından, onun membranlarından və kranial sinirlərdən inkişaf edən şişlər (glioblastoma, glioma).
  • İkinci dərəcəli şişlər metastatik mənşəli şişlərdir .
Hüceyrə tərkibinə görə

2007-ci ildə Ümumdünya Səhiyyə Təşkilatımütəxəssisləri tərəfindən hazırlanmış mərkəzi sinir sisteminin şişlərinin müasir histoloji təsnifatı 1979, 1993, 2000-ci illərin əvvəlki nəşrlərindən müsbət şəkildə fərqlənir. Hər şeydən əvvəl, bir sıra ən son üsulların, xüsusən də neyromorfologiyada geniş tətbiqi nəticəsində meydana gələn bir sıra neoplazmaların histogenezi və bədxassəli olma dərəcəsinə dair fikirlərin dəyişməsini kifayət qədər tam əks etdirməsi ilə immunohistokimya və molekulyar genetik analiz. Ən çox yayılmış morfoloji alt tiplər aşağıdakılardır:

  • Neyroepitel şişləri (ependimoma, glioma, astrositoma). Onlar birbaşa beyin toxumasından inkişaf edir. Onlar təxminən 60% təşkil edir.
  • Qabıq şişləri (meningioma). Onlar beyin qişasının toxumalarından inkişaf edir.
  • Hipofiz vəzinin şişləri (hipofiz adenoması). Hipofiz vəzinin hüceyrələrindən əmələ gəlir.
  • Kəllə sinirlərinin şişləri (neyronomalar).
  • Ekstraserebral lezyonlardan metastazlar .
  • Disembriogenetik şişlər. Embriogenez zamanı baş verir. Olduqca nadir, lakin ciddi bir patoloji növü.

Klinikası

Beyin şişlərinin klinik təzahürləri kəllə boşluğunun məhdud həcmində yerləşməsi ilə müəyyən edilir. Şiş bölgəsində beyin toxumasının sıxılması və ya məhv edilməsi (neoplazmanın cücərməsi səbəbindən) sözdə əsas və ya fokus simptomlara səbəb olur. Xəstəlik irəlilədikcə, hemodinamikanın pozulması və kəllədaxili hipertoniya səbəbindən sözdə beyin simptomları görünür .

Əsas simptomları

Əsas simptomlar əsasən şişin lokalizasiyası ilə müəyyən edilir. Aşağıdakı qrupları ayırd etmək olar:

Sensor pozğunluğu
Dəriyə təsir edən xarici stimulları qəbul etmək qabiliyyəti azalır və ya yox olur — termik, ağrı, toxunma hissləri. Kosmosda bədən hissələrinizin yerini müəyyən etmək qabiliyyətini itirə bilərsiniz. Məsələn, gözləri bağlı olan xəstə əlini ovucu ilə yuxarı və ya aşağı tutduğunu ayırd edə bilmir.
Yaddaşın pozulması
Yaddaşdan məsul olan beyin qabığının zədələnməsi ilə yaddaşın tam və ya qismən itirilməsi baş verir: yaxın adamları tanıya bilməməkdən tutmuş hərfləri tanıya bilməməyə qədər.
Hərəkət pozğunluqları (parez, iflic)
Əzələ fəaliyyəti motor impulslarını ötürən yolların zədələnməsi səbəbindən azalır. Şişin lokalizasiyasından asılı olaraq, lezyonun şəkli də fərqlənir. Həm bədənin ayrı-ayrı hissələrinin zədələnməsi, həm də ətrafların və gövdənin tam və ya qismən zədələnməsi inkişaf edə bilər. Əgər beyin qabığından hərəki impulsların ötürülməsi pozulursa, mərkəzi tipli iflic baş verir, yəni onurğa beynindən siqnal əzələlərə gəlir, onlar hipertoniklikdədirlər, lakin beynin nəzarət siqnalları daxil olmur. Onurğa beyni zədələndikdə periferik iflic yaranır, beyindən gələn siqnal onurğa beyninə daxil olur, lakin onurğa beyni onu əzələlərə ötürə bilmir, əzələlər hipotonik olur.
Epilepsiya tutmaları
Konvulsiv tutmalar korteksdə həyəcan ocağının formalaşması səbəbindən görünür.
Eşitmə və danışma pozğunluğu
Eşitmə siniri zədələndikdə, eşitmə orqanlarından siqnal qəbul etmək qabiliyyəti itirilir. Səs və nitqin tanınmasına cavabdeh olan korteks sahəsinin sıradan çıxması ilə xəstə üçün bütün səsli səslər mənasız səs-küyə çevrilir.
Görmə, obyekt və mətnin tanınması pozulması
Şiş optik sinir və ya quadrigemina bölgəsində yerləşdikdə, torlu qişadan beyin qabığına siqnal çatdıra bilməməsi səbəbindən tam və ya qismən görmə itkisi baş verir. Görünüşün təhlilinə cavabdeh olan korteks sahələri təsirləndikdə, müxtəlif pozğunluqlar meydana gəlir — daxil olan siqnalı başa düşməməkdən yazılı nitqi başa düşməmək və ya hərəkət edən obyektləri tanıya bilməmək
Şifahi və yazılı nitqin pozulması
Yazılı və şifahi nitqdən məsul olan korteks sahələrinin məğlubiyyəti ilə onların tam və ya qismən itirilməsi baş verir. Bu proses, bir qayda olaraq, tədricən baş verir və şiş böyüdükcə güclənir — əvvəlcə xəstənin nitqi pozulur (2–3 yaşlı uşaqda olduğu kimi), yazı tədricən dəyişir, sonra dəyişikliklər tamamilə qeyri-mümkün olana qədər artır. onun nitqini və dəst-xətini kələ-kötür xətt şəklində başa düşmək.
Vegetativ pozğunluqlar
Zəiflik, yorğunluq yaranır, xəstə tez ayağa qalxa bilmir, başı gicəllənir, nəbzdə və qan təzyiqində dalğalanmalar baş verir. Bu, damar tonusuna nəzarətin pozulması və azan sinirin təsiri ilə bağlıdır.
Hormonal pozğunluqlar
Hormonal fon dəyişir, bütün hipotalamus-hipofizdən asılı hormonların səviyyəsi dəyişə bilər.
Koordinasiyanın pozulması
Beyincik və orta beyin zədələndikdə koordinasiya pozulur, yeriş dəyişir, xəstə vizual nəzarət olmadan dəqiq hərəkətlər edə bilmir. Məsələn, darıxır, gözlərini yumub burnunun ucuna çatmağa çalışır. Romberq mövqeyi qeyri-sabit olur.
Psixomotor və koqnitiv pozğunluqlar
Yaddaş və diqqət pozulur, xəstə diqqəti dağılır, əsəbiləşir, xarakter dəyişir. Simptomların şiddəti təsirlənmiş ərazinin ölçüsündən və yerindən asılıdır. Simptomların spektri diqqətin yayınmasından tutmuş zaman, məkan və özünə aid oriyentasiyanın tam itirilməsinə qədər dəyişir.
İntellektual və emosional pozğunluqlar
Beyin həcmli formasiyalar səbəbindən zədələndikdə, intellektual funksiyalar və sosial uyğunluq və psixotizm kimi sosial qarşılıqlı əlaqənin xüsusiyyətlərini əks etdirən şəxsi xüsusiyyətlər ən çox əziyyət çəkir. Bu təsirin yanal xüsusiyyətləri ondan ibarətdir ki, şişin inkişafı ilə əlaqədar olaraq sol yarımkürənin funksiyaları pozulduqda psixotizm daha çox güclənir, sağ yarımkürənin fəaliyyəti zəif olduqda isə sosial uyğunluq artır. Beynin həcmli lezyonları zamanı idrak statusunun dəyişməsində yarımkürə xüsusiyyətləri şəxsiyyət xüsusiyyətlərindəki dəyişikliklərdən daha az dərəcədə ifadə edilir.
Hallüsinasiya
Beyin qabığının təsvirin təhlili üçün cavabdeh olan bölgələri təsirləndikdə, xəstə halüsinasiyalara başlayır (adətən sadədir: xəstə işığın yanıb-sönməsini, günəş qalosunu görür).
Eşitmə halüsinasiyaları
Xəstə monoton səsləri eşidir (qulaqlarda cingilti, sonsuz döymə).

Serebral simptomlar

Serebral simptomlar kəllədaxili təzyiqin artması, beynin əsas strukturlarının sıxılması ilə baş verən simptomlardır.

Baş ağrısı
Onkoloji xəstəliklərdə fərqli xüsusiyyət baş ağrısının daimi xarakteri və yüksək intensivliyi, qeyri-narkotik analjeziklər tərəfindən zəif relyefdir. İntrakranial təzyiqin azaldılması rahatlama gətirir.
Qusma (qida qəbulundan asılı olmayaraq)
Mərkəzi genezisin qusması, bir qayda olaraq, orta beyində qusma mərkəzinə təsir nəticəsində baş verir. Ürəkbulanma və qusma xəstəni daim narahat edir, kəllədaxili təzyiqin dəyişməsi ilə tıxac refleksi tetiklenir. Həmçinin qusma mərkəzinin yüksək fəallığından xəstə yemək yeyə bilmir, bəzən su içir. Dilin kökünə düşən hər hansı yad cisim qusmağa səbəb olur.
Başgicəllənmə
Serebellumun strukturlarının sıxılması nəticəsində baş verə bilər. Vestibulyar analizatorun işi pozulur, xəstədə mərkəzi tipli başgicəllənmə, üfüqi nistagmus var, tez-tez onun hərəkətsiz qaldığı halda, bir istiqamətə və ya digər istiqamətə döndüyü, sürüşdüyü hissi var. Həmçinin, başgicəllənmə beyinə qan tədarükünün pisləşməsinə səbəb olan şiş böyüməsindən qaynaqlana bilər.

Diaqnostika

Kəllə içərisində şişin lokalizasiyası səbəbindən diaqnoz çətindir. Onkoloji xəstəliyin diaqnozu nəhayət yalnız histoloji nəticədən sonra edilir, histoloji və ya sitoloji müayinə olmadan diaqnoz icazə verilmir. Şişin kəllə boşluğunda yerləşməsi və beyin toxumasına böyüməsi səbəbindən biopsiya nümunəsinin götürülməsi mürəkkəb neyrocərrahi əməliyyatdır. "Beyin şişi" diaqnozu mərhələlərlə qoyulur — əvvəlcə ambulator, sonra xəstəxanada təsdiqlənir. Diaqnozun üç mərhələsi var .

Aşkarlama

Xəstə, bir qayda olaraq, terapevtə (daha az — nevroloqa və ya digər ixtisas həkiminə) gəlir. Xəstə fokus və ya serebral simptomların irəliləməsi ilə xəstəyə müraciət etməyə məcbur olur — klinika yüngül olduğu halda, xəstələr nadir hallarda həkimlərin diqqətinə gəlir və yalnız vəziyyət sürətlə pisləşməyə başlayanda, şəxs bir mütəxəssisdən kömək istəyir.

Həkim qəbul edilən xəstənin vəziyyətini qiymətləndirir və onun şiddətindən asılı olaraq xəstəxanaya yerləşdirmə və ya ambulator müalicə haqqında qərar qəbul edir. Vəziyyətin şiddətini qiymətləndirmək üçün meyar fokus və serebral simptomların mövcudluğu və şiddəti, həmçinin müşayiət olunan xəstəliklərin olması və şiddətidir. Bir xəstədə nevroloji simptomlar varsa, o, nevroloqa məsləhətləşməyə göndərilir. Epilepsiya və ya konvulsiv tutma ilk dəfə baş verdikdə onkoloji patologiyanı aşkar etmək üçün beynin kompüter tomoqrafiyası mütləqdir.

Diaqnoz qoyulması

Nevroloq simptomların şiddətini qiymətləndirir və diferensial diaqnoz qoyur. Onun vəzifəsi ən azı ilkin və əlavə müayinələrdən sonra klinik diaqnoz qoymaqdır. Həkim xəstənin şikayətləri və onun üçün mövcud olan müayinə üsulları əsasında hansı xəstəliklər haqqında düşünməli, hansı instrumental və laborator müayinə üsullarını təyin etməli olduğuna qərar verməlidir.

28 yaşlı kişidə MRT ilə üzə çıxarılan beyin şişi

Məcburi müayinə üsullarına tendon reflekslərinin fəaliyyətinin təyin edilməsi, toxunma və ağrı həssaslığının yoxlanılması daxildir. Diaqnostik tədbirlər xəstənin şikayətlərindən asılı olaraq və differensial diaqnostika məqsədilə genişləndirilə bilər. Beləliklə, məsələn, xəstə koordinasiya çatışmazlığını qeyd edərsə, barmaqdan buruna test aparılmalıdır, Romberg mövqeyində sabitliyi yoxlayın. Beyin şişindən şübhələnirsinizsə, xəstə kompüter tomoqrafiyasına (CT) və ya maqnit rezonans tomoqrafiyasına (MRT) göndərilir. Kontrastlı MRT beyin şişlərinin diaqnostikasında "qızıl standart"dır . Tomoqrammada həcmli formalaşma aşkar edilərsə, xəstənin ixtisaslaşdırılmış xəstəxanada xəstəxanaya yerləşdirilməsi məsələsi həll edilir.

Təsdiqlənmə

Onkoloji dispanserə qəbul olunduqdan sonra bu xəstənin müalicə taktikasını, cərrahi müdaxiləyə ehtiyacı olub-olmadığını və lazım gəldikdə buna necə dözəcəyini, stasionar müalicəsinin məqsədəuyğun olub-olmadığını müəyyən etmək üçün bir sıra müayinələr aparılır. Beynin təkrar CT və ya MRT aparılır. Radiasiya və kimyaterapiyanın rejimləri və dozaları müəyyən edilir, şişin xəritəsi çəkilir, onun sərhədləri, ölçüləri və dəqiq lokalizasiyası müəyyən edilir. Xəstəyə cərrahi müalicə göstərilibsə, sonrakı terapiya üçün optimal rejim seçmək üçün şişin biopsiyası alınır və onun histoloji yoxlanışı aparılır. Həmçinin, şiş toxumasının hazırlanması stereotaktik biopsiya ilə əldə edilə bilər.

Müalicə

Beyin şişlərinin müalicəsi, bütün onkoloji xəstəliklər kimi, mürəkkəb və kifayət qədər bahalı bir işdir. Müalicə kursu zamanı həyata keçirilən bütün fəaliyyətləri aşağıdakı qruplara bölmək olar .

Simptomatik terapiya

Bu qrupla əlaqəli bütün fəaliyyətlər xəstəliyin səbəbinə təsir göstərmir, ancaq xəstənin həyatını xilas etməyə və ya həyat keyfiyyətini yaxşılaşdırmağa imkan verən onun gedişatını azaldır.

  • Qlükokortikosteroidlər (prednizolon) — beyin toxumasının şişkinliyini aradan qaldırır və serebral simptomları azaldır.
  • Antiemetiklər (metoklopramid) — serebral simptomların artması nəticəsində və ya kombinə edilmiş kimya-radioterapiyadan sonra meydana gələn qusmanı aradan qaldırır.
  • Sedativ dərmanlar psixomotor oyanmanın səviyyəsindən və psixi pozğunluqların şiddətindən asılı olaraq təyin edilir.
  • Qeyri-steroid antiinflamatuar preparatlar (NSAİİlər — məsələn, ketonal) — ağrı sindromunu dayandırın.
  • Narkotik analjeziklər (morfin, omnopon) — ağrı, psixomotor təşviqat, mərkəzi mənşəli qusma dayandırılır.

Cərrahiyyə ilə müalicə

Çox böyük bir şişin cərrahi yolla çıxarılması, sol parietal lobun sıxılması və dura mater ilə əridilməsi. Şiş ölçüsü — 4–5 sm

Beyin və onurğa beyni şişlərinin cərrahi müalicəsi əsas, ən təsirli üsuldur, lakin şişin beyin toxumasından çıxarılması əhəmiyyətli bir çətinlikdir. Hər bir belə müdaxilə mürəkkəb neyrocərrahi əməliyyatdır. Cərrah sağlam toxumalarda şişi aksizləşdirməli olduğundan (residivlərin qarşısını almaq üçün), hər bir belə əməliyyat travmatikdir və şişin böyük ölçüsünə və ya beynin həyati vacib bölgələrində lokalizasiyasına görə çox vaxt tamamilə qeyri-mümkündür. Şişin ölçüsündən, lokalizasiyasından, növündən, xəstənin vəziyyətindən asılı olaraq, əməliyyata ehtiyac, cərrahi müdaxilənin miqdarı və onun həyata keçirilməsi üsulu ilə bağlı qərar verilir. Beyin şişi cərrahiyyəsində müasir lazer və ultrasəs texnologiyasından istifadə onun effektivliyini bir qədər də artırmağa imkan verib. Müdaxilənin spesifik yolu və onun həyata keçirilməsi üsulu fərdidir və şişin yerindən, ölçüsündən və hüceyrə tərkibindən asılıdır .

Şüa terapiyası

Beyin şişlərinin müalicəsində radiasiya terapiyası mühüm rol oynayır. Şüa terapiyası həm cərrahi müalicəyə əlavə olaraq, həm də cərrahi müalicənin mümkün olmadığı və ya xəstənin əməliyyatdan imtina etdiyi hallarda müstəqil şəkildə həyata keçirilə bilər. Beyin şişləri olan xəstələr üçün radiasiya terapiyasını planlaşdırarkən, radiasiyaya məruz qalmanın rasional miqdarını müəyyən etmək çox vacibdir. Bu məqsədlə əməliyyat zamanı əldə edilən məlumatlardan, əməliyyatdan əvvəl və sonrakı kompüter tomoqrafiyasından, maqnit rezonans tomoqrafiyasından, angioqrafiyadan, pozitron emissiya tomoqrafiyasından istifadə etmək lazımdır. Rasional radiasiya səviyyəsinin müəyyən edilməsi terapiyanın mənfi təsirlərinin qarşısını alacaq və ya minimuma endirəcəkdir. Radiasiya terapiyasının hərəkəti ionlaşdırıcı şüalanmanın radiasiya şüasının yolunda olan toxuma hüceyrələrinə təsirinə əsaslanır. Xarici şüa radiasiya terapiyası beyin şişlərinin müalicəsində istifadə olunur. Optimal başlanğıc müddəti əməliyyatdan sonra 14–21 gündür və tercihen 2 aydan gec olmayaraq. Şüalanma şişin özünün, şiş yatağının, qalıq şişin, residivlərin və ya metastazların bölgəsində yerli olaraq həyata keçirilir. Çoxlu (> 3) metastaz və ya müəyyən histoloji tipli şişlər (qlioblastoma, astrositoma və s.) ilə bütün beynin ümumi şüalanması da mümkündür. Radiasiya terapiyası ümumiyyətlə 10–30 fraksiyadan (prosedurlardan) ibarət bir kursda aparılır, ümumi beyin şüalanması zamanı ionlaşdırıcı şüalanmanın ümumi izoeffektiv (yəni 2 Gy fraksiya ilə bir dozaya ekvivalent) dozası 50–60 Gy -dən çox olmamalıdır., yerli ilə — 70 Gy. Şüalanmanın tək dozasının ölçüsü (1 seans üçün) 0,8 ilə 3 Gy arasında dəyişir. Radiasiya terapiyası şişin hüceyrə tərkibinə, ölçüsünə və lokalizasiyasına görə fərdi olaraq seçilir . Effektivliyə baxmayaraq, radiasiya terapiyası xəstə üçün olduqca çətin bir prosedurdur, onun istifadəsi radiasiya reaksiyaları ilə müşayiət olunur, adətən düzəldici anti-ödem terapiyası ilə dayandırılır. Şişlərin növlərindən asılı olaraq radiasiya terapiyasının müxtəlif sxemləri və kemoterapi ilə birləşmələr formalaşır.

Radiocərrahiyyə

Stereotaktik radiocərrahiyyə radioterapiyanın bir hissəsidir, lakin beyin şişlərinin müalicəsində artan əhəmiyyətinə görə xüsusi diqqətə layiqdir. Stereotaktik radiocərrahiyyə ilk dəfə 1969-cu ildə isveçli neyrocərrah Lars Leksell tərəfindən cərrahi müdaxilənin əks göstəriş olduğu və ya ağırlaşma riskinin yüksək olduğu üçün arzuolunmaz olduğu xəstələr üçün cərrahiyyə əvəzi kimi istifadə edilmişdir. Radiocərrahiyyə stereotaksik naviqasiyanın (millimetraltı dəqiqliklə fəza naviqasiyasının) üstünlüklərindən və radiasiya terapiyası üçün xarakterik olan ionlaşdırıcı şüalanmanın xüsusi olaraq şiş hüceyrələrinə seçici təsirindən istifadə edir. Bu, klassik şüa terapiyası ilə müqayisədə invaziv, yüksək travmatik cərrahi müalicə olmadan, lakin minimal fəsadlarla şiş fokusunun tam məhvinə nail olmağa imkan verir. Radiocərrahiyyənin göstərildiyi əsas hallar bunlardır: beyin metastazları (ilkin şişin lokalizasiyası və az sayda metastaz ilə), cərrahi və / və ya radiasiya müalicəsindən sonra əsas beyin şişinin təkrarlanması. Beynin xoşxassəli yenitörəmələri üçün radiocərrahiyyə cərrahi müalicəyə tam alternativdir və xəstə üçün seçim üsulu hesab olunur. Əks göstərişlər və ya cərrahi müalicədən imtina halında, diaqnozun histoloji yoxlanışı olduqda müstəqil müalicə üsulu kimi radiocərrahiyyə aparmaq mümkündür. Bəzən ümumi beyin şüalanması ilə birlikdə radiocərrahiyyə aparmaq mümkündür.

Kimyaterapiya

Kimyaterapiyadan əvvəl adekvat dozanı və ən təsirli dərmanı seçmək üçün şişin histoloji yoxlanışını aparmaq vacibdir. Əgər əməliyyat aparılmayıbsa, diaqnoz stereotaktik biopsiya ilə təsdiqlənməlidir. Kimyaterapiyanın istifadəsi qan-beyin baryerinə nüfuz edən az sayda dərmanla əhəmiyyətli dərəcədə məhdudlaşdırılır. Kimyaterapiya üçün ilkin şərt xəstənin dərmana fərdi həssaslığını müəyyən etməkdir. İdarəetmə marşrutu şiş toxumalarında dərmanın ən yüksək konsentrasiyasını yaratmaq imkanı əsasında seçilir. Kimyaterapiya üçün alkilləşdirici qrupun dərmanları, antimetabolitlər, təbii mənşəli preparatlar, antiblastik antibiotiklər, sintetik və yarı sintetik preparatlar istifadə olunur. Kimyaterapiya radiasiya terapiyası və bir neçə dərmandan ibarət kurs ilə birlikdə ən təsirli olur.

Dərmanların tətbiqi 1 həftədən 3 həftəyə qədər davam edən kurslarda, 1–3 gün fasilələrlə, dərmanın bütün təyin olunmuş dozası tətbiq olunana qədər aparılır. Dərmanın tətbiqi qan şəklinin nəzarəti altında həyata keçirilir, çünki terapiyada istifadə olunan bütün dərmanlar ən aktiv bölünən hüceyrələrə, o cümlədən sümük iliyi hüceyrələrinə təsir göstərir. Təhlillərin nəticələrinə görə terapiya kursu kəsilə, bəzi hallarda isə tamamilə ləğv edilə bilər . Eşzamanlı antiemetik terapiya da xəstə üçün böyük əhəmiyyət kəsb edir. Xəstənin həyat keyfiyyəti baxımından vacib olan emetogenlik kimi bir parametrdir — qusmağa səbəb olmaq qabiliyyəti. Yüksək emetogenlik, antiemetik terapiya olmadan dərman qəbul edənlərin 90% -də qusma olduğunu göstərir. Bu əsasda 4 qrup fərqləndirilir:

  • > 90% — yüksək
  • 30–90% — orta
  • 10–30% — aşağı
  • < 10% — minimum

Antiemetik terapiyanın adekvatlığı qusma mərkəzinin fəaliyyətini maneə törədən dərmanların sedativlərlə birlikdə kombinasiyası ilə əldə edilir. Xüsusi birləşmənin seçimi fərdi həssaslıqdan, kemoterapinin müddətindən və maliyyə imkanlarından asılıdır.

Temozolomidin uşaq gliomaları üçün effektivliyi sübut edilməmişdir. .

Kriocərrahiyyə

Kriocərrahiyyənin məqsədi ətrafdakı sağlam hüceyrələrə zərər vermədən həm bədənin səthində, həm də orqanın dərinliyində donmuş patoloji toxumanın müəyyən həcmində hüceyrələrin kriocərrahiyyəsidir. Kriocərrahiyyədə iki əsas cihaz növü istifadə olunur: krioaplikatorlar və krioproblar. Krioaplikatorlar, dondurulmuş obyektin səthi ilə təmasda olduğu və kifayət qədər böyük olduğu üçün bioloji toxumanın böyük massivlərinin məhv edilməsi üçün nəzərdə tutulmuşdur. Buna görə də krioaplikatorlar dermatologiya, mammologiya, qastroenterologiya və qaraciyər cərrahiyyəsində geniş istifadə olunur. Kriyoproblar kiçik bir patoloji fokusda toxuma və ya orqan dərinliyinə minimal invaziv təsir göstərmək üçün, ətrafdakı toxumaların ehtiyatlı müalicəsi tələb olunduqda istifadə olunur. Beyin şişləri üçün kriocərrahiyyə həm cərrahi çıxarılmasının əsas mərhələsini tamamlaya bilər, həm də şiş toxumasına müstəqil təsir növü ola bilər. Kriodestruksiya aşağıdakılar üçün istifadə olunur: 1. Beynin funksional əhəmiyyətli nahiyələrində yerləşən şişlər. 2. Ənənəvi cərrahiyyə üsulları ilə çıxarılmayan şişlər. 3. dərin yerləşmiş çoxsaylı formasiyalar (beyində metastazlar). 4. çıxarılmayan şiş fraqmentləri (meningiomaların qalıq toxuması). 5. xiazmal-sellar lokalizasiyasının şişləri. 6. vertebranın metastatik lezyonları. Kriyoterapiya radiasiya və ya kemoterapiya və ənənəvi cərrahi müdaxilələrlə birləşdirilə bilər.

Krionecrosis patogenezində bağlantılar: 1. hüceyrə sitoskeletinin zülallarının üçölçülü şəbəkəsinin depolimerizasiyası, çünki plazma və daxili membranların forması, maneə və struktur xüsusiyyətləri, ionların və metabolitlərin daşınması, enerji təchizatı kimi mühüm hüceyrə parametrləri. sintetik proseslər isə onların vəziyyətindən və xassələrindən asılıdır; 2.hüceyrədənkənar və hüceyrədaxili buz əmələ gəlməsi prosesində hüceyrələrin əhəmiyyətli dərəcədə susuzlaşması, hüceyrənin xaricində və daxilində elektrolitlərin "ölümcül konsentrasiyasının" kəskin artmasına, həmçinin sitoskeletal zülalların struktur vəziyyətinin dəyişməsinə səbəb olur; 3. buz kristallarının hüceyrə membranlarının mexaniki zədələnməsi, həmçinin hüceyrədaxili strukturların bu kristallar tərəfindən sıxılması; 4. Hüceyrə mübadiləsinin pozulması, zəhərli məhsulların ölümcül konsentrasiyalarda toplanması; 5. sürüşmə və trombun əmələ gəlməsi nəticəsində toxuma dövranının pozulması səbəbindən işemik hipoksiya; 6. dondurulmuş toxumaya qarşı antikorların meydana gəlməsi ilə əlaqədar immunoloji reaksiya (Hazırda bu təsir sübut edilməmişdir).

Kriocərrahi üsul geniş məruz qalma həcminə malikdir və həmçinin çətin əldə edilən və ya geniş yayılmış şişlər üçün, xüsusən yaşlı xəstələrdə və müşayiət olunan xəstəliklərin mövcudluğunda aktualdır .

Şüa və kimyaterapinin birləşməsi

Son klinik tədqiqatlar göstərdi ki, aşağı dərəcəli qliomalarda radiasiya və kemoterapiyanın kombinasiyası ilə daha yüksək üç illik sağ qalma nisbəti təmin edilir. Belə qliomalar sonda III–IV mərhələyə keçərək glioblastoma çevrilə bilər.

Gliomaların müalicəsi üçün hansı agentin ən təsirli olduğu sualı mübahisəlidir. Ohayo Universiteti Xərçəng Mərkəzi və Merilend, Ontario Universiteti tərəfindən birgə aparılan II Faza tədqiqatları göstərir ki, radioterapiyanın temozolomidlə kemoterapi ilə birləşməsi tək radiasiya terapiyası alan nəzarət qrupu ilə müqayisədə proqnozu yaxşılaşdırır. Yüksək residiv riski olan aşağı dərəcəli qlioma olan xəstələr, eyni vaxtda kemoterapi və radioterapiya ilə müalicə olunduqda, tədqiqatda üç illik sağ qalma nisbətini 73% göstərdi. Yalnız radiasiya müalicəsi alan nəzarət qrupunda üç illik sağ qalma nisbəti 54% təşkil etmişdir .

Klinik müayinə

Beyin şişindən şübhələnildikdə, xəstə yaşayış yerindəki onkoloji dispanserə göndərilir, burada diaqnozu təsdiqləmək və ya aradan qaldırmaq üçün bir sıra müayinələr aparılır — beyin şişi. Diaqnoz təsdiqlənərsə, xəstə dispanser qeydiyyatına alınır. Müalicə kursu təyin edilir və aparılır. Müalicə başa çatdıqdan sonra xəstə evə buraxılır, lakin dispanser qeydiyyatında davam edir. Təkrar müayinələr üçün dispanserə gəlməsi tövsiyə olunur. Bu sistem şiş prosesinin residivlərinin vaxtında aşkarlanmasına yönəlib. Boşaldıqdan sonra xəstəyə əvvəlki səfərdən sonra ayda üç dəfə, üç aydan sonra iki dəfə, altı aydan sonra iki dəfə, sonra ildə 1 dəfə müraciət etmək tövsiyə olunur. Onkoloq qeydiyyatında olan şəxslərin dispanser müşahidəsi ömürlük və ödənişsizdir.

Proqnoz

Uğurlu və tam müalicənin mümkünlüyü diaqnozun vaxtında qoyulması və adekvatlığından asılıdır. Şiş inkişafının erkən mərhələsində başlayan tam üç mərhələli müalicə ilə xəstələrin beş illik sağ qalma nisbəti şişin histoloji variantından asılı olaraq 60–80% təşkil edir . Gec müalicə və cərrahi müalicənin qeyri-mümkün olması ilə histoloji variantdan və şiş ölçüsündən asılı olaraq beş illik sağ qalma 30–40% -dən çox deyil.

vikipedia, viki, ensiklopediya, kitab, məqalə, oxumaq, pulsuz yüklə, Beyin xərçəngi haqqında məlumat. Beyin xərçəngi nədir? Beyin xərçəngi nə deməkdir?

←Növbəti YazıƏvvəlki Yazı→
Ən Oxunanlar - Vikipediya
  • Fevral 28, 2026

    Gülağa Cabbarov

  • Fevral 24, 2026

    Cakarta

  • Fevral 27, 2026

    Kimyəvi rabitə

  • Fevral 27, 2026

    Muğan dairəsi

  • Fevral 27, 2026

    Kor bucaq

Trend Mahnılar
  • Fevral 17, 2026

    Cahangir Aliyev & Gülnar Zeynalova - Asta - Asta 2026 (Yeni Klip)

  • Fevral 22, 2026

    Qurban Qurbanzade - Meni Gel Apar Burdan ( Ai Seymur Memmedov )

  • Fevral 21, 2026

    Bayram Kürdəxanlı & Sona - Meclisimiz Xudmanidi İçmirsən

  • Fevral 17, 2026

    Zeyneb Heseni - Sevgililer Gununde 2026 (Yeni Klip) 4K

  • Fevral 21, 2026

    Uzeyir Mehdizade - Popuri 3 ( Ekskluziv )

Studia

  • Vikipediya
  • Musiqi

Xəbər Bülleteni Abunəliyi

Əlaqə Saxlayın
Bizimlə Əlaqə
© 2025 www.azur.az-az.nina.az - Bütün hüquqlar qorunur.
Müəllif hüquqları: Dadash Mammadov
Üst