Azərbaycanca (AZ) Azərbaycanca (AZ)Deutsch (DE) Deutsch (DE)English (US) English (US)Қазақша (KZ) Қазақша (KZ)Lietuva (LT) Lietuva (LT)සිංහල (LK) සිංහල (LK)Türkçe (TR) Türkçe (TR)O'zbekcha (UZ) O'zbekcha (UZ)中國人 (CN) 中國人 (CN)
Dəstək
Pulsuz Yükləmə və Məlumat Platforması
  • Vikipediya
  • Musiqi

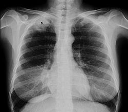
Pankost şişi – ağciyər zirvəsinin şişi olub, yuxarı ətrafın nevroloji və damar simptomları ilə müşayiət olunur.

Pankost

  • Ana Səhifə
  • Vikipediya
  • Pankost

Pankost şişi – ağciyər zirvəsinin şişi olub, yuxarı ətrafın nevroloji və damar simptomları ilə müşayiət olunur.

Pankost şişi
XBT-10 C34.1
XBT-9 162.3
XBT-O 8010/3
DiseasesDB 31266
MeSH D010178
Vikianbarın loqosu Vikianbarda əlaqəli mediafayllar

vikipedia, viki, ensiklopediya, kitab, məqalə, oxumaq, pulsuz yüklə, pankost sözünün mənası, pankost haqqında məlumat. pankost nədir? pankost nə deməkdir?

←Növbəti YazıƏvvəlki Yazı→
Ən Oxunanlar - Vikipediya
  • Fevral 28, 2026

    Povidlo

  • Fevral 27, 2026

    Evan Qoldberq

  • Fevral 27, 2026

    Kabo Verde

  • Mart 06, 2026

    Balto

  • Fevral 26, 2026

    Cuniçiro Tanizaki

Trend Mahnılar
  • Fevral 28, 2026

    Zaur Quluzade & Babek Nur - Sevgi Dolu Nifret 2026 | 4K (Official Music Video)

  • Fevral 24, 2026

    Qurban Qurbanzade - Meni Gel Apar Burdan ( Ai Seymur Memmedov Ürəyim )

  • Fevral 17, 2026

    Vusal Bilesuvarli & Naibe Sabirabadli - Eşq Əsiri (Klip 2026)

  • Fevral 21, 2026

    Ceyhun SazMen & Vefa Serifova - Popuri 2026 (Yeni Klip) 4K

  • Fevral 21, 2026

    Bayram Kürdəxanlı & Sona - Meclisimiz Xudmanidi İçmirsən

Studia

  • Vikipediya
  • Musiqi

Xəbər Bülleteni Abunəliyi

Əlaqə Saxlayın
Bizimlə Əlaqə
© 2025 www.azur.az-az.nina.az - Bütün hüquqlar qorunur.
Müəllif hüquqları: Dadash Mammadov
Üst