Azərbaycanca (AZ) Azərbaycanca (AZ)English (US) English (US)Қазақша (KZ) Қазақша (KZ)Lietuva (LT) Lietuva (LT)Türkçe (TR) Türkçe (TR)O'zbekcha (UZ) O'zbekcha (UZ)
Dəstək
Pulsuz Yükləmə və Məlumat Platforması
  • Vikipediya
  • Musiqi

Fibroz — fibrotik çapıq kimi tanınan, birləşdirici toxumanın normal parenximal toxumanı nəzarətsiz qaldığı dərəcədə əvəz etdiyi, toxumaların əhəmiyyətli dərəcəd

Fibroz

  • Ana Səhifə
  • Vikipediya
  • Fibroz

Fibroz — fibrotik çapıq kimi tanınan, birləşdirici toxumanın normal parenximal toxumanı nəzarətsiz qaldığı dərəcədə əvəz etdiyi, toxumaların əhəmiyyətli dərəcədə yenidən qurulmasına və qalıcı çapıq toxumasının əmələ gəlməsinə səbəb olan patoloji yara sağalmasıdır.

Təkrarlanan xəsarətlər, xroniki iltihab və təmir fibroza həssasdır, burada kollagen kimi hüceyrədənkənar matris komponentlərinin təsadüfən həddindən artıq yığılması fibroblastlar tərəfindən istehsal olunur və daimi fibrotik çapıq əmələ gəlir.

Zədəyə cavab olaraq buna skarlasma deyilir və əgər fibroz tək bir hüceyrə xəttindən yaranırsa, buna fibroma deyilir. Fizioloji olaraq, fibroz birləşdirici toxuma çökdürmək üçün hərəkət edir, bu da əsas orqan və ya toxumanın normal quruluşuna və funksiyasına müdaxilə edə və ya tamamilə maneə törədə bilər. Fibroz lifli toxumanın həddindən artıq çökməsinin patoloji vəziyyətini, həmçinin şəfada birləşdirici toxuma çökmə prosesini təsvir etmək üçün istifadə edilə bilər. Hüceyrədənkənar matriks zülallarının patoloji yığılması ilə müəyyən edilən fibroz, təsirlənmiş toxumanın çapıqlaşması və qalınlaşması ilə nəticələnir, bu, mahiyyət etibarilə normal orqan fəaliyyətinə mane olan şişirdilmiş yara sağalma reaksiyasıdır.

Mündəricat

Fiziologiya

Fibroz skarlasma prosesinə bənzəyir, çünki hər ikisi kollagen və qlikozaminoqlikanlar da daxil olmaqla birləşdirici toxuma salan stimullaşdırılmış fibroblastları əhatə edir . Proses makrofaqlar kimi immun hüceyrələr fibroblastları stimullaşdıran həll olunan amilləri buraxdıqda başlayır. Ən yaxşı xarakterizə olunan pro-fibrotik vasitəçi makrofaqlar və interstitium adlanan səthlər arasında hər hansı zədələnmiş toxuma tərəfindən buraxılan TGF betadır. Fibrozun digər həll olunan vasitəçilərinə , trombositdən əldə edilən böyümə faktoru və interleykin 10 daxildir . Bunlar siqnal ötürülməsi yollarını işə salır və nəticədə fibroblastların yayılmasına və aktivləşməsinə gətirib çıxarır və hüceyrədənkənar matrisi ətrafdakı birləşdirici toxumaya yerləşdirir. Bu toxuma təmir prosesi mürəkkəbdir, hüceyrədənkənar matrisin sintezi və normal toxuma arxitekturasının saxlanmasını təmin edən deqradasiyanın sıx tənzimlənməsi ilə. Bununla belə, bütün proses, zəruri olsa da, toxuma zədəsi ağır və ya təkrarlanan olarsa və ya yaranın sağalma reaksiyasının özü tənzimlənməmiş olarsa, proqressiv geri dönməz fibrotik reaksiyaya səbəb ola bilər.

Anatomik yer

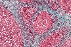
Qaraciyər sirozunu göstərən mikroqraf. Bu nümunədəki toxuma fibrozun mavi rəngdə olduğu trixrom ləkəsi ilə boyanmışdır. Qırmızı sahələr düyünlü qaraciyər toxumasıdır.

Fibroz bədənin bir çox toxumasında, adətən iltihab və ya zədələnmə nəticəsində baş verə bilər və bunlara misallar daxildir.:

Ağciyərlər

  • Fibrotoraks
  • Ağciyər fibrozu
  • Kistik fibroz
  • İdiopatik ağciyər fibrozu (idiopatik deməkdir ki, səbəbi bilinmir)
  • Radiasiyaya bağlı ağciyər zədəsi (xərçəngin müalicəsindən sonra)

Qaraciyər

Altı həftəlik tioasetamid kursundan sonra Vistar siçovulunda körpü fibrozu. Sirius Qırmızı ləkə serroz
  • Körpü fibrozu Xroniki qaraciyər xəstəliklərinin mütərəqqi formasında müşahidə olunan qaraciyər fibrozunun inkişaf etmiş mərhələsi. "Körpüləşmə" termini "körpünün" (yetkin və qalın lifli toxumanın zolağı ilə) meydana gəlməsini ifadə edir, portal sahəsini mərkəzi damara qədər məhv edir, psevdolobulların əmələ gəlməsinə səbəb olur. Hepatotoksinə uzunmüddətli məruz qalma (məsələn, tioasetamid, karbon tetraklorid, dietilnitrosamin) eksperimental heyvan modellərində körpü fibrozu ilə nəticələnir

.

  • Qaraciyər stellat hüceyrələrinin qocalması qaraciyər fibrozunun inkişafının qarşısını ala bilər, baxmayaraq ki, bu müalicə olaraq həyata keçirilməmişdir və qaraciyər disfunksiyası riskini daşıyır.
  • Sirroz

Böyrək

  • Böyrəkdə hüceyrə qocalmasının induksiyası fibrozu məhdudlaşdırmaq üçün potensial terapiyadır.

Beyin

  • Qlial çapıq

Ürək

Miokard fibrozunun əsasən iki forması var:

  • Konjestif ürək çatışmazlığı, hipertoniya və normal qocalmada təsvir edilən interstisial fibroz.
  • Köhnə miokard infarktını göstərən əvəzedici fibroz.

Digər xəstəlik

  • Arterial sərtlik
  • Artrofibroz (diz, çiyin, digər oynaqlar)
  • Xroniki böyrək xəstəliyi
  • Keloid (dəri)
  • Mediastinal fibroz (mediastinumun yumşaq toxuması)
  • Mielofibroz (sümük iliyi)
  • Peyronie xəstəliyi (penis)
  • Nefrogen sistemli fibroz (dəri)
  • Proqressiv kütləvi fibroz (ağciyərlər); kömür işçilərinin pnevmokoniozunun ağırlaşması
  • Retroperitoneal fibroz (retroperitoneumun yumşaq toxuması)
  • Skleroderma/sistemik skleroz (dəri, ağciyərlər)
  • Yapışqan kapsulitin bəzi formaları (çiyin).

Həmçinin bax

  • Makkyun-Olbrayt sindromu

vikipedia, viki, ensiklopediya, kitab, məqalə, oxumaq, pulsuz yüklə, Fibroz haqqında məlumat. Fibroz nədir? Fibroz nə deməkdir?

←Növbəti YazıƏvvəlki Yazı→
Ən Oxunanlar - Vikipediya
  • Fevral 27, 2026

    Svan dili

  • Fevral 27, 2026

    Ceremi Ayrons

  • Fevral 27, 2026

    Kütburun nərə

  • Fevral 25, 2026

    Kənd Zəngilan

  • Fevral 27, 2026

    Skarboro

Trend Mahnılar
  • Fevral 25, 2026

    Damla - Anam Demişdi 2026 (Yeni Klip) 4K

  • Fevral 21, 2026

    Uzeyir Mehdizade - Ruh Ekizim ( Official Video Clip ) 2026

  • Fevral 17, 2026

    Gel Mene Addim Addim - Selale Sesli ( Tik Tok Her Kesin Axtardigi Mahni 2026 )

  • Fevral 22, 2026

    Qurban Qurbanzade - Meni Gel Apar Burdan ( Ai Seymur Memmedov )

  • Fevral 24, 2026

    Qurban Qurbanzade - Meni Gel Apar Burdan ( Ai Seymur Memmedov Ürəyim )

Studia

  • Vikipediya
  • Musiqi

Xəbər Bülleteni Abunəliyi

Əlaqə Saxlayın
Bizimlə Əlaqə
© 2025 www.azur.az-az.nina.az - Bütün hüquqlar qorunur.
Müəllif hüquqları: Dadash Mammadov
Üst