Ağciyər tromboemboliyası (ATE) — ağciyər kötüyünün və ya onun budaqlarının tromblarla tıxanması çox vaxt aşağı ətrafların dərin damar trombozları nəticəsində yaranır. Ağciyər tromboemboliyası ağciyər damarlarının trombla okklüziyası nəticəsində yaranan həyati təhlükəli vəziyyətdir. Qərb tibb ədəbiyyatında daha çox ağciyər emboliyası adı ilə daha geniş mənada istifadə olunur. Son illərdə bütün dünyada Venoz Tromboembolizm (VTE) termininin istifadəsinə də üstünlük verilir. Bu termin həm dərin venalarının trombozunu (DVT), həm ATE-ni əhatə edir.
| Ağciyər tromboemboliyası | |
|---|---|
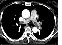
![]() KT vasitəsilə görünən ağciyər tromboemboliyası | |
| XBT-10 | I |
| XBT-10-KM | I26.99, I26 |
| XBT-9 | |
| XBT-9-KM | 415.19 |
| DiseasesDB | 10956 |
| MedlinePlus | 000132 |
| eMedicine | med/1958 |
| MeSH | D011655 |
Epidemiologiya
Tromboemboliya — geniş yayılmış ürək-damar patologiyasıdır. ABŞ-də hər il ATE 650000 insanda müəyyən olunur. Daha çox yaşlılarda rast gəlinsə də, cavanlar da bu haldan istisna olunmurlar və vaxtında aktiv müalicə tədbirləri aparılmazsa sağ mədəciyin kəskin çatışmazlığı fonunda ölüm baş verə bilər. ATE-nin cinsə görə ölüm hallarının nisbətini ABŞ-də aşağıdakı kimi müəyyən ediblər:
- Kişilərdə qadınlarla müqayisədə ölüm halları 20–30% yüksək olur;
- Yaşlılar arasında tromboemboliya daha çox kişilərdə rast gəlirsə, 55 yaşdan kiçik pasiyentlərdə ATE daha çox qadınlarda rast gəlinir.
Lakin bəzi səhiyyə sistemi geriləmiş dünya ölkələrində ağciyər tromboemboliyası kimi ciddi xəstəliyi spesifik müayinə üsulları tam şəkildə olmadığına görə vərəm və digər xəstəliklər ilə səhv salırlar və xəstələr qeyri-spesifik müalicə terapiyası almaq məcburiyyətində qalırlar. Tromboemboliyadan ölüm hallarının ən yüksək faizi də məhz həmin ölkələrin payına düşür.
Avropada ATE-dən ölüm digər kəskin ürək-damar xəstəlikləri kimi 2000-ci ildən 2015-ci ilə qədər xeyli azalmışdır. Bu da Avropada səhiyyə sisteminin inkişafından xəbər verir.
Birləşmiş Ştatlarda ATE-dən ölüm hallarının ilk təhlili 1979-1998-ci illəri əhatə etmişdir və mövcud olan yeganə məlumat xəstəxanaya yerləşdirmə ilə bağlı ölüm nisbətlərinə aiddir.
Kanadada ATE-dən ölüm halları haqqında məlumat 2009-cu ildən hesablanmağa başlasa da, son illər Kanadada yalnız iki region üçün venoz tromboemboliya ilə bağlı hallar və ölüm nisbətləri haqqında məlumatlar mövcuddur. ABŞ-də 2000-2006-cı illər arasında müşahidə olunan ATE ilə bağlı ölüm hallarının azalma tendensiyası 1979-1998-ci illər arasında qeydə alınana və Avropa üçün son hesabatlara oxşar miqyasdadır. Lakin 2006-cı ildən sonra ABŞ-da gənc və orta yaşlı insanlarda ATE ilə bağlı ölüm halları artdı, 65 və daha yuxarı yaşlılar arasında isə azalma sürəti dayandı. Qeyd olunan dövrlərdə ümumi ölümlərin ATE-yə düşən faizi ABŞ-da 1-6%, Kanadada isə 1-3% arasında olub.
Səbəbləri və risk amilləri
Bu xəstəliyin əsasında tromb əmələ gəlməsi dayanır ki, buna da səbəb olan 3 amil qeydə alınır:
- qan dövranının pozulması və ya venalarda qanın durgunluğu;
- damarların zədələnməsi və bu səbəbdən venoz sistemdə trombun formalaşması;
- hiperkoaqulyasiya - qanda laxtalanmanın artmasında aktivlik nümayiş etdirilən bir vəziyyətdir.
Bu 3 səbəb tibbdə Virxov üçlüyü və ya Virxov triadası adlanır. Üçlük görkəmli alman həkimi Rudolf Virxovun (1821-1902) adını daşıyır. Bununla belə, Virxov triadasını təşkil edən amillər Virxov tərəfindən təklif edilməmişdi və o, venoz trombozun patogenezini təsvir etmək üçün heç vaxt triada təklif etməmişdir.
Əslində, ölümündən yalnız onilliklər sonra trombozun qan axınındakı dəyişikliklərin, damar endotelinin zədələnməsinin və ya qanda dəyişikliklərin nəticəsi olduğu nəzəriyyəsinin təsdiqinə səbəb olan konsensus əldə edilmişdi. Başqa sözlə, emboliyaya səbəb olan amillərin müasir anlayışı Virxov tərəfindən təklif edilən təsvirə bənzəyir. 100 ildən sonra Virxov triadası hələ də trombozun altında yatan amilləri anlamaqda həkimlər və patoloqlar üçün çox faydalı bir konsepsiya olaraq qalır.
ATE əsasən aşağı ətrafların dərin venalarında əmələ gələn trombun yerdəyişməsi nəticəsində inkişaf edir. Qan dövranının pozulması damarların varikoz genəlmə ilə, eləcə də eritremiya, eritrositoz, orqanizmin susuzlaşması, fibrinogenin artması müşahidə oluna bilər.
Damarların zədələnməsi kateter və stentlərin yerləşdirilməsi, travmatik zədələr və əməliyyatlarla müşahidə oluna bilər. Bunun yaranmasına səbəb hipoksiya, viruslar və endotoksinlər də ola bilər. Soyuqlama reaksiyası zamanı aktivləşən leykositlər də damarları zədələyə bilərlər.
Qeyd edildiyi kimi, ATE zamanı trombların əmələ gəlməsində əsas səbəb aşağı ətrafların trombozudur, nadir hallarda yuxarı ətrafların damarları və sağ mədəcik olur.
Avropa Kardiologiya Cəmiyyətinin 2008-ci il məlumatlarına əsasən, xəstələr yüksək və aşağı risk qruplarına bölünür. Sonuncu da orta və aşağı riskli alt qruplara bölünür. Yüksək risk — erkən ölüm riski (xəstəxanada və ya ağciyər emboliyasından sonra 30 gün ərzində) 15% -dən çox, orta — 15% -dən çox deyil, aşağı — 1% -dən azdır. Onu müəyyən etmək üçün üç qrup marker nəzərə alınır: klinik markerlər, sağ mədəciyin disfunksiyası markerləri və miokard zədələnməsinin markerləri.
Eləcə də ATE olması riski Uells şkalası ilə qiymətləndirilir.(Wells score, 2001).
| Göstərici | Ballar |
|---|---|
| Aşağı ətrafların dərin damarlarının trombozu kliniki əlamətləri — aşağı ətrafların şişkinliyi və ağrı. | 3 |
| Digər patologiyalardan daha çox ATE təxmin edilməsi | 3 |
| Taxikardiya dəqiqədə 100 | 1,5 |
| 3 gün ərzində əməliyyat | 1,5 |
| Aşağı ətrafların dərin damar trombozu | 1,5 |
| Qanhayqırma | 1 |
| Hazırda və ya 6 ay öncəyə qədər təsadüf edən onkoloji patologiyalar | 1 |
Əgər ballar <2 — olarsa ATE olması riski aşağıdır; 2–6 bal — nisbi; >6 bal — yüksək ehtimal.
Cenevrə şkalasından da istifadə etmək mümkündür (2006).
| Göstərici | Ballar |
|---|---|
| Yaş həddi >65 | 1 |
| Aşağı ətrafların dərin damar trombozu | 3 |
| Cərrahi müdaxilə | 2 |
| Onkoloji patologiya | 2 |
| Aşağı ətrafların dərin damar trombozuna şübhə yaradan amil — bir ayaqda şiş və ağrı. | 3 |
| Qanhayqırma | 2 |
| Taxikardiya dəqiqədə 75–94 | 3 |
| Taxikardiya ≥ 95 | 5 |
| Bir ayaqda şiş zamanı toxunduqda ağrı | 4 |
<3 — ATE riski aşağı; 4–10 — nisbi; ≥ 11 — yüksək.
Patogenez
Emboliya damarda qan laxtalanması nəticəsində yaranır, onun divarına (üzən qan laxtaları) yapışır. Ayrılmış tromb ürəyin sağ tərəfindən ağciyər arteriyasına axır və maneə törədir. Bunun orqanizm üçün nəticələri emboliyanın ölçüsündən, sayından, ağciyərlərin reaksiyasından və orqanizmin trombolitik sisteminin fəaliyyətindən asılıdır. Başqa sözlə, trombun tıxanması ağciyərlərdə arterial qan axınının kəskin azalmasına səbəb olur, ağciyər arteriyalarının kiçik filiallarının refleks spazmı ilə güclənir. Ağciyər arteriyasında təzyiqin artması və onun genişlənməsi ilə sağ mədəciyin həddindən artıq yüklənməsi də var - lat. cor pulmonale və sol mədəcikdən qanın şok emissiyası azalır. Koronar dövranın pozulması tez-tez ikincili miokard nekrozuna səbəb olur. Ağciyər arteriyasının budaqlarının tromboemboliyası da təhlükəlidir, çünki gövdənin bifurkasiya bölgəsindəki sinir uclarının refleks zonasının trombla qısa müddətli qıcıqlanması da koronar spazma və bəzən ürəyin dayanmasına səbəb olur.
Bəzən aritmiyanın olması tromboemboliyanın yaranması ilə nəticələnə bilər. Aritmiya ürək əzələsinin xəstəliyi olub, ürəyin yığılıb açılması hərəkətləri tezliyinin pozulmasıdır.
Yaranma səbəbləri:
- Kəskin və xroniki ürək əzələri xəstəlikləri – miokardit, perikardit, anadangəlmə və qazanılmış ürək qüsuru
- Döş qəfəsinə zərbə, travma nəticəsində daxili orqanlara təzyiq
- Bir çox dərmanların doza həddinin aşılması
- Narkotik maddələr
- Orqanizmin uzun müddət susuzlaşması
- Qalxanabənzər vəzin hormonal pozuntuları
Aritmiya zamanı ürək yığılmalarının sayı və impulsu artır, ritm pozulur, təzyiqi ölçdükdə nəbz 120-ni keçir.
Aritmiya uzun müddət simptomsuz, gizli keçir, ciddi əlamət vermir. Əgər büruzə verdisə, ikiqat güclü təsirlə başlayır.
Əlamətləri əsasən stres, nevroz və panik atak halına çox bənzəyir: ürəyin çırpınması, soyuq tər, qorxu, ölüm qorxusu, xəstə özünə yer tapmır, döş qəfəsində sıxılma, ağrı, nəfəs çatmaması, tez-tez nəfəs alma, baş gicəllənmə, hər an huşunu itirəcəkmiş kimi hiss. Digər əlavə əlamətlərə həyəcandan sidik ifrazı, bədəndə halsızlıq, düşüncənin ləngiməsi aid edilir. Bir sözlə, insan qəfil yaxalanır, öləcəyini düşünür.
Əgər vaxtında diaqnoz edilib müalicə olunmazsa, kəskin ürək çatışmazlığı və tromboemboliya ilə nəticələnə bilər.

Kliniki mənzərə
Kliniki olaraq ATE — nin növləri:
- kütləvi — ağciyərlərin damar həcminin 50% -dən çoxu təsirlənir və xəstəlik şok ilə və ya sistemli hipotenziyada özünü göstərir;
- submassiv — ağciyər damar həcminin 30–50% -i təsirlənir və sağ mədəciyin çatışmazlığı əlamətləri ilə özünü göstərir;
- qeyri-kütləvi — ağciyərlərin damar həcminin 30% -dən az hissəsi təsirlənir (kiçik distal ağciyər arteriyalarının emboliyası), təzahürlər yoxdur və ya minimaldır (ağciyər infarktı).
Ağciyər arteriyalarının kiçik budaqlarının emboliyası asemptomatik ola bilər və ya qeyri-spesifik simptomlarla (bədən istiliyinin bir qədər artması, öskürək) özünü büruzə verə bilər.
Kütləvi ATE şok və sistemli hipotenziya inkişafı ilə kəskin sağ mədəciyin çatışmazlığı kimi özünü göstərir. Nəfəs darlığı, taxikardiya və huşunu itirmə ola bilər. Bu zaman ürəyin sağ mədəciyinin disfunksiyası və ya miokardın zədələnməsi əlamətləri aşkar edilir ki, bu da ağciyər arteriyasında təzyiqin artdığını göstərir.
Qeyri-kütləvi ağciyər emboliyası ilə heç bir əlamət olmur və bir neçə gündən sonra ağciyər infarktı baş verir, bu, nəfəs alarkən sinə ağrısı (plevranın qıcıqlanması səbəbindən), qızdırma, öskürək ilə özünü göstərir. Aşkar edilmiş rentgen şüalarında tipik kölgələr müşahidə olunur.
Müayinə
Müayinəsi çətindir, çünki ATE simptomları qeyri-spesifikdir və diaqnostik testlər qeyri-kamildir. Standart testlər (müntəzəm laboratoriya testləri, elektrokardioqrafiya (EKQ), döş qəfəsinin rentgenoqrafiyası) yalnız digər patologiyaları (məsələn, pnevmoniya, pnevmotoraks, qabırğa sınıqları, miokard infarktı, ağciyər ödemi) istisna etmək üçün faydalıdır. ATE diaqnozunun həssas və spesifik üsullarına d-dimerin təyini, exokardioqrafiya, kompüter tomoqrafiyası (KT), ventilyasiya-perfuziya sintiqrafiyası, ağciyər damarlarının angioqrafiyası, həmçinin aşağı ətrafların dərin venalarının trombozunun diaqnostikası üsulları (ultrasəs, KT venoqrafiyası) daxildir.
Laborator müayinə metodları
d-dimer səviyyəsi
D-dimer — fibrinin parçalanma məhsuludur; onun yüksək səviyyəsi son zamanlarda trombun meydana gəlməsini göstərir. D-dimer səviyyələrinin təyini yüksək həssasdır (90% -dən çox), lakin ATE diaqnozu üçün xüsusi bir üsul deyil. Bu o deməkdir ki, d-dimerlərin yüksək səviyyələri müxtəlif patoloji şəraitdə (məsələn, infeksiya, iltihab, nekroz, aorta diseksiyası) baş verir. Bununla belə, d-dimerlərin normal səviyyəsi (<500 μg/l) aşağı və orta ehtimalı olan xəstələrdə ATE-ni istisna etməyə imkan verir. Yüksək kliniki ehtimal olan pasiyentlərdə D-dimerin yoxlanılması mütləq deyil.
Kompüter tomoqrafiyası
ATE-ni təsdiq və ya inkar etmək üçün kompüter tomoqrafik pulmonar angioqrafiya (KTPA) aparılması tövsiyə olunur. Bu üsul tromboemboliyaların müəyyən edilməsində tarixi qızıl standart hesab edilir. İnvaziv prosedurdur, yüksək şüalıdır (effektiv şüa dozası 10-20 mSv). Əgər KTPA əks göstərişdirsə (kontrast maddəyə allergiya, hamiləlik, böyrək patologiyaları və s.) ağciyərlərin ventilyasion-perfuzion sintiqrafiyası aparılır.
Rentgenoqramma
Normal rentgenoqramma ATE diaqnozunu inkar etmir. Lakin bəzən ağciyərin digər xəstəlikləri ilə eyni görüntü yaratdığı üçün ATE-nin müəyyən edilməsində dəqiq müayinə hesab edilmir. Ona görə demək olar ki, ağciyər emboliyasının rentgenoqrafik əlamətləri dəyişkən və qeyri-spesifikdir.
Exokardioqrafiya (ExoKQ)
Qida borusundan aparılan ExoKQ ağciyər arteriyasının gövdə və əsas şaxələrində trombu aşkarlamağa imkan verir və belə halda diaqnostik axtarış dayandırıla bilər, yəni növbəti müayinələrə ehtiyac qalmır. Sağ mədəcikdə qan laxtasının mövcudluğunu göstərə bilər. Bu tədqiqatın nəticələri, ürəyin sağ tərəfinin qanı laxtalanmaya itələməyə çalışarkən uzanmasını nümayiş etdirməklə həkimlərə emboliyanın şiddətini təyin etməyə kömək edə bilər.
Qan laxtalanması və ya təkrarlanan qan laxtalanması üçün aşkar risk faktorları olmayan insanlarda həkimlər qanaxma pozğunluğunun xəstəliyə səbəb olub-olmadığını müəyyən etmək üçün qandakı protein səviyyələrini də ölçə bilərlər.
Ultrasəsli doppleroqrafiya
Dərin venoz trombozların aşkarlanmasında doppleroqrafiyanın həssaslığı 94%-dən, spesifikliyi isə 98%-dən artıqdır. ATE olan xəstələrin 30-50%-də ultrasəsli doppleroqrafiya Dərin venoz trombozlarınl təyin edir və ATE ehtimalı olan xəstələrdə proksimal DVT aşkarlanırsa, bu növbəti müayinələr olmadan da antikoaqulyant terapiyanın təyin edilməsinə əsas verir. Bu müayinə ağciyər emboliyasının ümumi qaynaqları olan ayaqlarda laxtaların varlığını təyin etmək üçün qeyri-invaziv bir üsuldur. Müayinə nəticələrinə görə ayaqların damarlarında laxtalanmanın olmaması ağciyər emboliyası ehtimalını istisna etmir. Bununla belə, əgər ultrasəs müayinəsi zamanı qan laxtalandığını aşkar edərsə və həmin şəxsdə tənəffüsdə yalnız yüngül çətinlik olarsa, qan təzyiqi və ya ürək döyüntüsündə artım müşahidə edilmirsə, bəzən xəstələrə əlavə müayinə aparılmadan ağciyər emboliyası müalicəsi verilir, çünki hər iki xəstəliyin müalicəsi eynidir.
Müalicə
Ağciyər emboliyası olan xəstələrin müalicəsi reanimasiya şöbələrində aparılmalıdır.
Antikoaqulyant terapiya
Vaxtında antikoaqulyant terapiya ölüm və təkrar tromboemboliya riskini azaldır, buna görə də yalnız təsdiqlənmiş diaqnoz ilə deyil, həm də ağciyər emboliyasının yüksək ehtimalı olduqda diaqnoz prosesində başlamaq tövsiyə olunur. Bu məqsədlə fraksiyalaşdırılmamış heparin (venadaxili), aşağı molekulyar çəkili heparin istifadə olunur: enoksaparin, dalteparin (dərialtı) və ya fondaparinux (dərialtı).
Əksər hallarda aşağı molekulyar ağırlıqlı heparinlərdən istifadə olunur, çünki fraksiyalaşdırılmamış heparinlərlə müqayisədə daha effektiv, təhlükəsiz və istifadəsi daha rahatdır.
Peroral antikoaqulyantlar:
- apixaban 7 günə qədər
- rivaroxaban 3 həftəyə qədər
- dabigatran
- edoxaban
Reperfuziya terapiyası
Reperfuziya terapiyasının məqsədi trombun çıxarılması və normal ağciyər qan axınının bərpasıdır. Çox vaxt bunun üçün trombolitik terapiya istifadə olunur. Yüksək riskli xəstələr üçün tövsiyə olunur. Bəzən orta risk altında trombolizin istifadəsinə icazə verirlər, lakin bu qrup xəstələrdə belə terapiyanın faydası hazırda aydın deyil. Aşağıdakı preparatlardan istifadə olunur:
- Streptokinaza
Dolayı fibrinolitik streptokinaza həm sərbəst dövran edən, həm də fibrinə bağlı olan plazminogenlə birləşir və onu plazminə çevirir; fibrinogenin, plazminogenin, V və VIII laxtalanma faktorlarının tükənməsi ilə nəticələnən sistemli plazminemiyaya səbəb olur. Bu sistemli litik vəziyyət hipokoaqulyasiyaya gətirib çıxarır ki, bu da retromboz riskini azaldır. Streptokinaza qəbul edən xəstələrdə antistreptokok antikorları inkişaf edə bilər. Qeyd etmək lazımdır ki, streptokinaza qəbul edən xəstələrdə allergik reaksiyaların inkişafı sənədləşdirilmişdir, müxtəlif ədəbi mənbələrdə şiddəti soyuqluq, qızdırma və titrəmədən anafilaksiyaya qədər dəyişir. Bundan əlavə, streptokinaza venadaxili mayelərə və vazopressorlara yaxşı cavab verən hipotenziyaya kömək edə bilər. Belə reaksiyaların inkişafı, həmçinin antikorların mövcudluğunun seroloji təsdiqi ilə əlaqədar olaraq, hazırda streptokinazanın təkrar tətbiqinin mümkünlüyü müzakirə olunur. İlk dozadan sonra bir il ərzində xəstələrə streptokinazanın ikinci dozasının verilməsinin tövsiyə edilmədiyinə dair sübutlar var. Bununla belə, bəzi xəstələrdə ağır allergik və ya anafilaktik reaksiyalar inkişaf etmədən streptokinazanın ikinci dozası qəbul edilmişdir.
- Urokinaza
Təbii olaraq əmələ gələn birbaşa plazminogen aktivatoru olan urokinazanın 35 ildən artıq müddət ərzində istifadə olunmasına baxmayaraq, bu vəziyyət üçün standart müalicəyə çevrilməmişdir. Urokinaza streptokinazadan əhəmiyyətli dərəcədə az antigendir.
- Alteplaza
Streptokinazadan fərqli olaraq, alteplaza antigenik deyil və onun istifadəsi allergik reaksiyaların inkişafı ilə əlaqəli deyil. Alteplaza fibrin üçün streptokinazadan daha spesifikdir, lakin alteplaza fibrinogenin orta dərəcədə tükənməsinə səbəb olur. Alteplazanın streptokinazadan daha bir nəzəri üstünlüyü onun çarpaz bağlı fibrini daha aktiv şəkildə lizis etmək qabiliyyətidir.

Cərrahi metodlar
Trombun cərrahi yolla çıxarılması (trombektomiya) trombolitik terapiya əks göstəriş olduqda yüksək riskli ağciyər emboliyası üçün alternativ müalicə hesab olunur. Residiv riski yüksək olan və antikoaqulyant terapiyaya mütləq əks göstərişləri olan xəstələrdə vena kava filtrləri quraşdırıla bilər. Aparılan araşdırmalar göstərmişdir ki, vena kava filtrinin yerləşdirilməsi və çıxarılması mümkün və təhlükəsizdir.
Bu filtr ağciyər tromboemboliyasının qarşısının alınmasında təsirli olmuşdur. Hazırda tibbdə çıxarıla bilən vena kava filtri həm daimi, həm də müvəqqəti istifadə üçün yaxşı ilk seçim hesab edilir.
vikipedia, viki, ensiklopediya, kitab, məqalə, oxumaq, pulsuz yüklə, Ağciyər tromboemboliyası haqqında məlumat. Ağciyər tromboemboliyası nədir? Ağciyər tromboemboliyası nə deməkdir?
